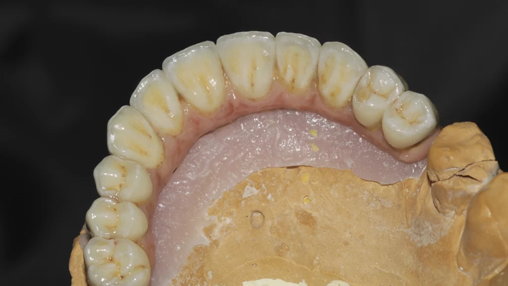
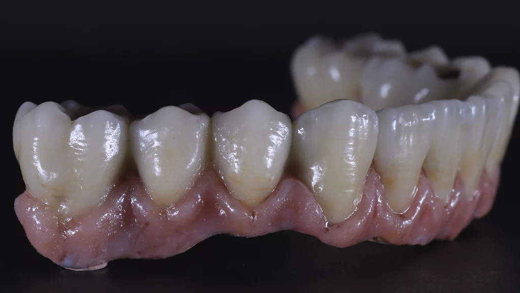
Las prótesis sobre implantes son restauraciones fijas o removibles diseñadas para reemplazar dientes ausentes mediante estructuras protésicas que se fijan sobre implantes osteointegrados. Estas soluciones permiten restaurar no solo la función masticatoria, sino también la estética, fonación y estabilidad oclusal, ofreciendo una alternativa segura y duradera a los tratamientos convencionales.
Prótesis sobre implantes
SERVICIOS PROTÉSICOS SJ
¿Qué es el servicio de Prótesis sobre implantes?
Existen múltiples tipos de prótesis sobre implantes, según el número de pilares, el sistema de retención y la complejidad del caso: coronas unitarias, puentes, estructuras híbridas atornilladas, sobredentaduras con barras o anclajes tipo locator, y rehabilitaciones completas sobre múltiples implantes (All-on-4, All-on-6, etc.). Cada uno de estos sistemas responde a distintas necesidades clínicas, anatómicas y económicas del paciente.
Este tipo de prótesis exige una planificación protésica cuidadosa desde la fase quirúrgica, ya que la colocación de los implantes debe ir guiada por el diseño restaurador. Por ello, el trabajo conjunto entre clínica y laboratorio es fundamental para garantizar precisión en el ajuste, funcionalidad oclusal y resultados estéticos acordes a las expectativas del paciente.
En resumen, las prótesis sobre implantes representan una solución altamente efectiva para casos de edentulismo parcial o total, combinando biomecánica, precisión digital y diseño personalizado, con una tasa de éxito clínico superior y una mejora significativa en la calidad de vida del paciente
¿Cómo lo hacemos?
Nuestro proceso para la elaboración de prótesis sobre implantes se basa en un protocolo técnico claro, seguro y digitalizado:
1. Recepción de la información clínica
Trabajamos con modelos analógicos o archivos STL provenientes de escáner intraoral, acompañados de radiografías, plan de tratamiento y especificaciones del sistema implantológico utilizado.
2. Planificación y diseño CAD
Diseñamos la estructura protésica sobre los pilares o interfaces seleccionados, integrando el diseño oclusal, la posición de los tornillos y los requerimientos estéticos. Colaboramos estrechamente con la clínica en casos complejos.
3. Fabricación CAM
Fresamos o imprimimos estructuras en materiales como zirconio, titanio, Cr-Co o PMMA, según el tipo de rehabilitación. En estructuras atornilladas realizamos pruebas de ajuste pasivo antes del acabado definitivo.
4. Acabado protésico y control de calidad
Aplicamos cerámica, composite o maquillajes según la indicación estética. Antes de la entrega, todas las estructuras pasan por control de pasividad, oclusión y estética para garantizar una adaptación clínica precisa.
Protésicos SJ
Ventajas de este servicio
Nuestros puntos fuertes
Especialistas en soluciones dentales personalizadas con precisión, calidad y compromiso profesional.
Experiencia en rehabilitaciones complejas
Amplia trayectoria en casos unitarios, múltiples y rehabilitaciones completas sobre implantes, tanto cementadas como atornilladas.
Materiales certificados y biocompatibles
Utilizamos únicamente materiales aprobados para uso implantológico, garantizando seguridad, resistencia y estabilidad en el tiempo.
Tecnología de vanguardia
Utilizamos diseño y fabricación digital con maquinaria de última generación, lo que garantiza precisión, eficiencia y calidad en cada estructura.
Soporte técnico personalizado
Ofrecemos asesoramiento clínico-técnico en la elección del sistema, tipo de interfase, diseño oclusal, carga inmediata y protocolo de pruebas.
Control total del flujo digital
Desde el escaneado y diseño CAD hasta la fabricación CAM y el acabado estético final, trabajamos en un entorno 100 % digital.
Preguntas Frecuentes
¿Qué sistemas de implantes aceptáis?
Trabajamos con la mayoría de plataformas del mercado (Straumann, Nobel Biocare, MIS, BioHorizons, Avinent, BTI, Zimmer, entre otras). Solo necesitamos conocer el tipo de conexión y pilar seleccionado.
¿Cómo garantizáis el ajuste pasivo de las estructuras?
Mediante diseño CAD preciso, prueba de estructura intermedia (si se requiere) y verificación digital del asentamiento sobre el modelo maestro o archivo STL.
¿Qué materiales utilizáis para estas rehabilitaciones?
Zirconio monolítico o estratificado, titanio, Cr-Co, PMMA y resinas para provisionales. La elección depende de la carga funcional, estética y presupuesto del paciente.
¿Ofrecéis pruebas previas antes del trabajo definitivo?
Sí, realizamos pruebas de estructura, de dientes montados y pruebas estéticas en resina si el caso lo requiere. También podemos realizar mock-ups previos para planificación.
¿Cuál es el tiempo medio de entrega?
Depende del tipo de trabajo. Una corona sobre implante puede entregarse en 4–5 días hábiles, mientras que una rehabilitación completa puede requerir 10–12 días, incluyendo pruebas intermedias.

















