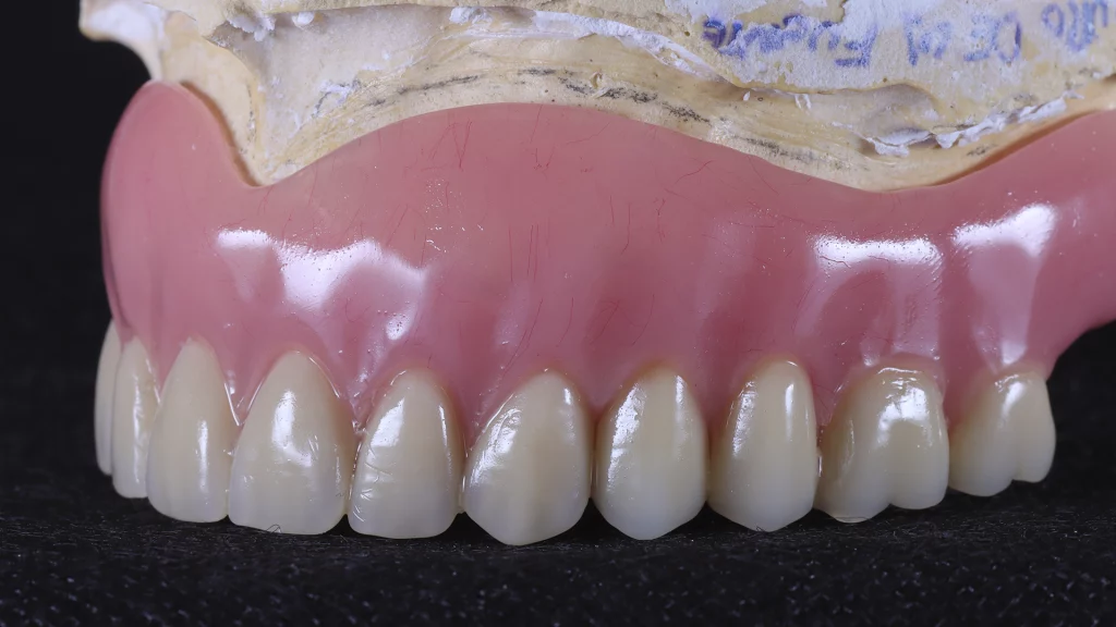
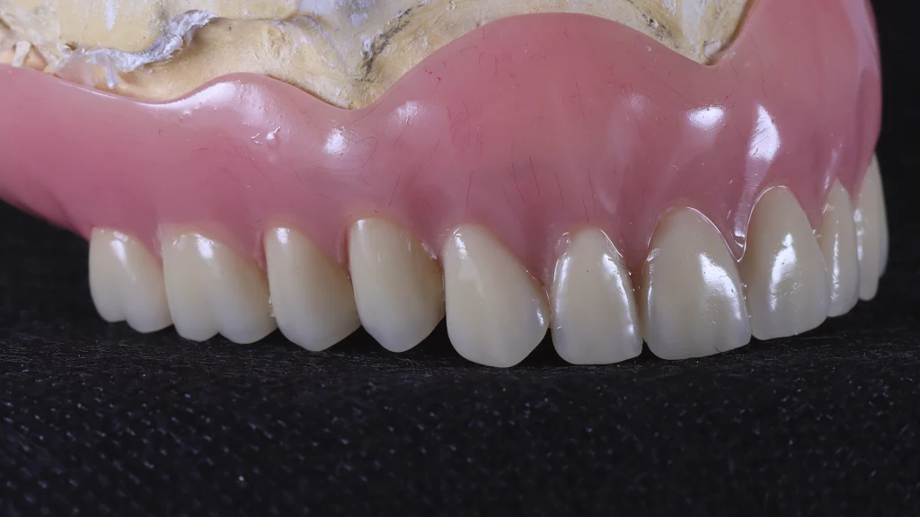
Las prótesis removibles son dispositivos protésicos diseñados para reponer dientes ausentes de forma no fija, es decir, pueden ser retiradas por el propio paciente para su limpieza y mantenimiento. Son una solución funcional y económica para restaurar la masticación, la estética y la fonación en pacientes parcialmente o totalmente edéntulos, especialmente en aquellos casos donde no es viable una rehabilitación fija o implantosoportada.
Prótesis Removibles
SERVICIOS PROTÉSICOS SJ
¿Qué es el servicio de Prótesis Removibles?
Existen varios tipos de prótesis removibles según la necesidad clínica: prótesis parciales de resina, esqueléticos metálicos (con estructura en cromo-cobalto) y prótesis completas mucosoportadas, todas ellas diseñadas a medida para ajustarse anatómicamente al paciente. Su indicación depende de factores como la extensión del edentulismo, la calidad del soporte óseo y mucoso, la presencia de dientes remanentes y las expectativas del paciente.
La prótesis removible sigue siendo una opción muy válida y demandada en la práctica clínica diaria, no solo por su accesibilidad económica, sino también por su versatilidad. Permite realizar rehabilitaciones parciales provisionales, soluciones definitivas en pacientes mayores o con contraindicación quirúrgica, y también tratamientos combinados con estructuras fijas o implantes.
En resumen, la prótesis removible es una alternativa terapéutica eficaz, accesible y clínicamente funcional, que requiere una elaboración precisa por parte del laboratorio, siguiendo criterios biomecánicos, estéticos y de retención adaptados a cada caso.
¿Cómo lo hacemos?
Elaboramos cada prótesis removible siguiendo un protocolo técnico que garantiza confort, estabilidad y estética:
1. Recepción de registros clínicos
Aceptamos modelos físicos o archivos digitales STL, acompañados de mordida y ficha de indicaciones clínicas (tipo de gancho, color, diseño, etc.).
2. Planificación del diseño
En el caso de esqueléticos, realizamos el diseño del armazón metálico respetando apoyos, conectores y retenedores según criterios biomecánicos. En prótesis completas, diseñamos las bases para un sellado funcional y adaptación óptima.
3. Prueba de estructura o base
Se realizan pruebas intermedias si el caso lo requiere, como prueba de estructura metálica, rodillos de mordida o dientes montados.
4. Acrilado y acabado final
Se procesan las prótesis con resinas de alta calidad, se realiza la caracterización estética, se verifica la oclusión y se pulen cuidadosamente para su entrega final.
Protésicos SJ
Ventajas de este servicio
Nuestros puntos fuertes
Especialistas en soluciones dentales personalizadas con precisión, calidad y compromiso profesional.
Experiencia en prótesis removible personalizada
Amplia trayectoria en el diseño y fabricación de prótesis completas, parciales y esqueléticas.
Control de calidad en cada etapa
Verificamos ajuste, retención, oclusión y acabado para asegurar el éxito clínico desde la primera prueba.
Uso de materiales certificados
Trabajamos únicamente con resinas, metales y dientes de alta calidad y reconocida durabilidad.
Plazos de entrega ajustados
Nos adaptamos a los tiempos clínicos sin comprometer la calidad del trabajo entregado.
Colaboración estrecha con la clínica
Asesoramos en el diseño, tipo de gancho, elección de dientes y consideraciones funcionales.
Preguntas Frecuentes
¿Es necesario el escaneado intraoral para realizar un diseño de sonrisa?
Sí, trabajamos sobre archivos digitales STL. No obstante, en caso de trabajar con modelos físicos, ofrecemos un servicio de digitalización en laboratorio.
¿Qué coste tiene el diseño de sonrisa y qué incluye?
El precio depende del número de piezas implicadas y del tipo de documentación solicitada. Incluye diseño 2D, modelado 3D, entrega de archivos y guía para mock-up. Ofrecemos packs especiales para rehabilitaciones completas.
¿Se puede mostrar el diseño al paciente con un mock-up físico?
Por supuesto. Podemos proporcionar modelos impresos y cubetas de transferencia para mock-up directo, permitiendo al paciente probar su nueva sonrisa antes de iniciar el tratamiento.
¿Cuánto tarda la entrega del diseño?
Normalmente entregamos en un plazo de 48–72 horas hábiles desde la recepción completa del material necesario.
¿Qué diferencia hay entre un diseño de sonrisa y una planificación digital completa (DSD)?
Nuestro diseño de sonrisa puede incluir una planificación estética completa similar al DSD, pero adaptada a cada caso clínico y con una mayor flexibilidad y agilidad, especialmente útil para clínicas que buscan soluciones rápidas, personalizadas y precisas.









