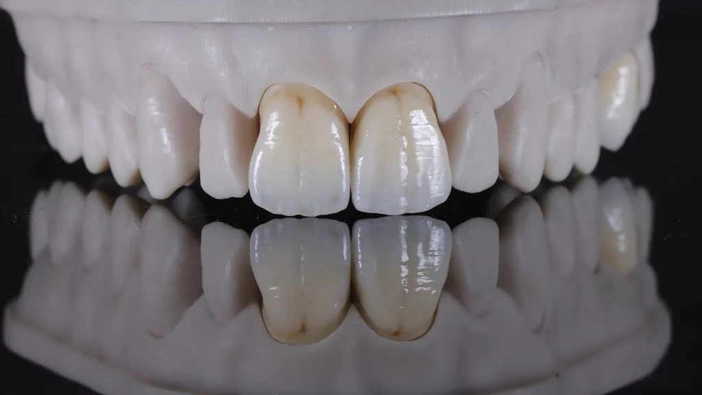
La prótesis fija es una solución restauradora que permite reemplazar uno o varios dientes perdidos o deteriorados de forma permanente, ya sea mediante coronas individuales, puentes dentales o rehabilitaciones completas sobre dientes naturales o implantes. A diferencia de las prótesis removibles, las fijas se cementan o atornillan de manera definitiva, proporcionando mayor comodidad, funcionalidad y estabilidad al paciente.
Prótesis Fijas
SERVICIOS PROTÉSICOS SJ
¿Qué es el servicio de Prótesis Fija?
Estas prótesis pueden elaborarse en diferentes materiales, como metal-cerámica, zirconio monolítico, disilicato de litio o estructuras híbridas, en función de las exigencias clínicas, estéticas y funcionales del caso. El objetivo es restaurar la anatomía dental con precisión, respetando la oclusión, la estética facial y la biomecánica masticatoria del paciente.
La indicación clínica de la prótesis fija abarca desde la restauración de piezas individuales con alto compromiso estético, hasta rehabilitaciones completas en pacientes desdentados que requieren una solución implantosoportada definitiva. Además, permite devolver la función masticatoria, mejorar la fonación y mantener la armonía oclusal, preservando la integridad de las estructuras vecinas.
En definitiva, se trata de un tratamiento protésico de alta precisión y larga duración, que requiere una estrecha colaboración entre el odontólogo y el laboratorio dental para lograr resultados funcionales, estéticos y biológicamente compatibles con los tejidos orales.
¿Cómo lo hacemos?
Nuestro protocolo de trabajo para prótesis fijas se basa en un enfoque digitalizado, riguroso y personalizado:
1. Recepción de la información clínica
Aceptamos impresiones convencionales o archivos STL de escáner intraoral, junto con indicaciones sobre tipo de restauración, margen protésico, color y oclusión.
2. Diseño CAD de la estructura
Utilizamos software especializado para diseñar coronas, puentes o estructuras completas, asegurando puntos de contacto, ajuste marginal y guías oclusales precisas. También desarrollamos encerados diagnósticos digitales previos si el caso lo requiere.
3. Fabricación CAM
Dependiendo del material elegido, fresamos en zirconio, disilicato o metales no preciosos con maquinaria de alta precisión. Las restauraciones se terminan con estratificación cerámica o maquillaje, según el nivel estético requerido.
4. Control de calidad y verificación
Antes de la entrega, cada prótesis pasa por un control de ajuste, oclusión y estética. En rehabilitaciones completas, ofrecemos prueba de estructura previa para garantizar un ajuste óptimo antes de la terminación final.
Protésicos SJ
Ventajas de este servicio
Nuestros puntos fuertes
Especialistas en soluciones dentales personalizadas con precisión, calidad y compromiso profesional.
Especialistas en restauración fija
Contamos con técnicos formados en estética dental y rehabilitaciones complejas, con amplia experiencia clínica-laboratorio.
Tecnología CAD/CAM de última generación
Utilizamos equipos de diseño y fresado que nos permiten trabajar con precisión micrométrica y reproducir detalles anatómicos fielmente.
Acompañamiento técnico en cada fase
Desde el encerado diagnóstico hasta la prueba en boca, ofrecemos asesoramiento continuo para optimizar cada caso.
Compromiso con los plazos
Respetamos los tiempos de entrega acordados, ofreciendo incluso servicios exprés para casos urgentes o provisionales.
Calidad constante en los acabados
Todas nuestras restauraciones pasan por un estricto protocolo de verificación y son elaboradas con materiales certificados.
Preguntas Frecuentes
¿Qué materiales utilizáis para la fabricación de prótesis fijas?
Zirconio monolítico, disilicato de litio, metal-cerámica, resinas provisionales y estructuras híbridas, según las necesidades clínicas y estéticas del caso.
¿Puedo enviar archivos STL directamente desde el escáner intraoral?
Sí, trabajamos con flujos digitales completos. Aceptamos archivos STL junto con fotos clínicas, mordidas y ficha técnica del caso.
¿En cuánto tiempo se entrega una corona o puente definitivo?
El tiempo medio de producción es de 4 a 7 días hábiles. También ofrecemos servicio rápido para casos urgentes o provisionales.
¿Qué protocolo seguís para rehabilitaciones completas sobre implantes?
Realizamos pruebas de estructura, encerados digitales previos, guías de carga inmediata y control de pasividad antes de la finalización definitiva.
¿Ofrecéis servicio de prueba estética antes del acabado final?
Sí, podemos realizar prueba intermedia con estructura y dientes montados o prueba estética en resina para validar forma, tamaño y color antes del acabado final.










































